「おすすめのマウスピース矯正は?」
「できるだけ費用を抑えたい」
「忙しいから通院回数も抑えたい」
マウスピース矯正は「目立ちにくい」「取り外せる」などの理由で人気がありますが、費用や通院回数が気になる方も多いですよね。
最近はインビザライン以外にもさまざまなブランドがあり、「どれを選べばいいのかな?」と迷ってしまう方も少なくありません。
それぞれに特徴や料金の違いがあるので、自分のライフスタイルや悩みに合ったものを選ぶことが大切です。
この記事では費用をできるだけ抑えて矯正ができるおすすめのマウスピース矯正を紹介しています。
マウスピース矯正選びで迷っている方は是非、参考にしてください。

マウスピース矯正選びで注意すること3選

マウスピース矯正は、ワイヤー矯正に比べて費用を抑えやすいとはいえ、一般的には数十万円ほどかかる治療になります。
ですので、慎重に選ぶことが重要にはなるのですが、「何を注意すればいいのか」疑問に思っている方に注意すべきこと3選を紹介したいと思います。
上記の注意点3選を解説していきます。
マウスピース選び注意点①:初回無料診断の有無
マウスピース矯正を行うクリニックでは、まず初診で治療が可能かどうかを確認します。
この際、精密検査などで通常4〜5万円ほどの費用がかかることがありますが、ブランドによっては初回診断を無料で受けられる場合もあります。
ですので、費用をできるだけ抑えたい方は、「初回無料診断」があるかどうかをチェックしておくと安心です。
マウスピース選び注意点②:サポート体制がしっかりしているか
マウスピース矯正中に不安を感じたり、思わぬトラブルが起きたときに頼れるサポート体制があるかどうかはとても大切です。
専用アプリやLINEで24時間質問できるなど、迅速に相談できる環境が整っているブランドを選びましょう。
特に、クリニックの営業時間外でも対応してもらえるサポート体制があるマウスピースブランドを選ぶと安心して治療を続けられます。
マウスピース選び注意点③:料金の支払いシステム
マウスピース矯正はワイヤー矯正に比べて費用を抑えやすいものの、一般的に数十万円ほどかかります。
分割で支払いを考えている方は、デンタルローンやクレジット分割に対応しているかを確認しておきましょう。
また、矯正費用以外に調整料や再作成費などの追加費用が発生する場合もあるため、事前にしっかり確認しておくことが大切です。
- 初回無料診断があるのか確認
- サポート体制をチェック
- 料金システムをチェック
上記の3点を踏まえて、おすすめできるマウスピースブランド9選を紹介したいと思います。
おすすめマウスピース①:スマイルモア矯正

- 初回診断無料
- 月々約¥3,000円~歯列矯正が可能
- 提携クリニック130院以上で通いやすい
部分矯正 | 全顎矯正 | |
対応治療 | ◎ | △ |
治療期間の目安 | 3~12ヶ月 | |
対応症状 | 出っ歯、ガタガタな前歯、すきっ歯 |
※治療期間には個人差があります
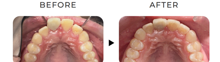
スマイルモア矯正は、上下それぞれ6本ずつ(合計12本)の前歯を中心に整える、部分矯正向けのマウスピースブランドです。
そのため、「すきっ歯」や「前歯のガタつき」など、ちょっとした歯並びが気になる方に選ばれています。
透明なマウスピースを使うので見た目も自然で、日常生活の中でもほとんど目立つことはなく「気軽に前歯をきれいにしたい」という方にぴったりの矯正方法です。

画像引用元:スマイルモア公式サイト
【治療期間】約6ヶ月
【治療費用】¥396,000円 (税込)
追加処置:IPR
IPRとは、歯と歯の間を少しだけ削って、すき間を作る処置のこと。
※効果には個人差があります。
※保険適用外の自由診療となります。
※補綴・治療の費用は各提携クリニックによって異なります。
スマイルモア矯正の料金プラン
プラン | 料金(税抜き) |
軽度 | 17~30万円 |
中度 | 30~39万円 |
重度 | 66~80万円 |
※軽度で17万円(税込18.7万円)の場合、月々約¥3,000円~で歯列矯正が可能になります。
(デンタルローンを利用して17万円(税込18.7万円)を頭金なし・84回払いで支払う場合の分割支払金額です。)
お支払い方法は分割払いと一括払いをお選びいただけます。
◾一括払い
銀行振込・クレジットカード(一括)
◾分割払い
デンタルローン
デンタルローンとは、歯の治療費を分割して支払うための「医療専用ローン」です。クレジットカードの分割払いとは違い、銀行や信販会社が患者に代わって歯科医院へ一括で治療費を立て替え、患者はその金額を毎月分割で返済していく仕組みです。
-
返済回数:6回〜84回程度(最長7年)
-
金利:およそ3%〜8%前後
(※カードローンやリボ払いより低いことが多いです)
※金利は「信販会社」や「医院の提携条件」によって異なります。
「金利0%キャンペーン」を行う医院もあります。
患者様へ事前のご説明やご同意なく、追加料金がかかることはありません。
皆様にお支払いいいただく費用は、基本的には次の2点です。
・スマイルモア矯正治療費用
・リテーナー費用
費用は歯並びや症状によって変わりますので、まずはクリニックにご相談ください。
※ホワイトニング剤最低1本が料金に含まれます。ただし、16歳未満の方へのホワイトニングは推奨していないため、年齢によってはホワイトニング剤のお渡しを控えさせていただく可能性があります。
提携クリニックによって異なりますが、平均で1万~4万円と言われています。
スマイルモア矯正がおすすめな方
- 初回無料診断を利用したい方
- 矯正費用をできるだけ抑えたい方
- 前歯の歯並びが気になる方
スマイルモア矯正は、全体の歯並びを大きく動かすというよりも、前歯などの気になる部分だけを整える「部分矯正」にぴったりなマウスピース矯正です。
そのため、「前歯が少しガタガタしている」「すきっ歯が気になる」といったお悩みを持つ方に多く選ばれています。
また、初回診断(通常4〜5万円ほど)が無料で受けられるので、自分の歯並びがマウスピース矯正に向いているかを気軽に相談できます。
さらに、他のマウスピースブランドと比べて費用を抑えて始められるのも嬉しいポイント。
「できるだけ自然に、無理なく前歯をきれいにしたい」という方におすすめのマウスピース矯正です。
\無料カウンセリングだけでもOK!/
おすすめマウスピース②:We Smile(ウィスマイル)矯正

- 提携クリニックが多く通いやすい
- 月々¥1,925円~歯列矯正が可能※1
- スピード治療で人気がある※2
※1コース、分割回数により変動
※2治療期間には個人差があります
部分矯正 | 全顎矯正 | |
対応治療 | ◎ | △ |
治療期間 | 約1ヶ月半〜6ヶ月 | 5ヶ月〜10ヶ月以上 |
対応症状 | 出っ歯、ガタガタな前歯、すきっ歯 |
※治療期間には個人差があります
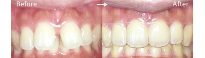
ウィスマイルは全体矯正にも対応していますが、特に「出っ歯」や「前歯のガタつき」など、部分的な歯並びを整えたい方に人気のあるマウスピース矯正です。
短期間で見た目の印象を改善できるケースも多く、費用を抑えて前歯だけをきれいにしたいという方に選ばれています。

画像引用元:ウィスマイル公式サイト
【治療期間】2ヶ月目
【治療費用】¥231,000円(税込)
- 8回コース:¥231,000円(税込)
- 分割費用:月額¥1,925円(税込)~可能
※効果には個人差があります
※分割手数料は別です
※最大分割回数は医院により異なります
ウィスマイル矯正の料金プラン
プラン | 料金(税込み) | 治療期間 |
1回コース | ¥1,650円 | お試し※ |
8回コース | ¥23.1万円 | 約1ヶ月半〜2ヶ月半 |
12回コース | ¥35.2万円 | 3ヶ月〜4ヶ月 |
18回コース | ¥51.7万円 | 4ヶ月〜6ヶ月 |
24回コース | ¥66万円 | 5ヶ月〜9ヶ月 |
30回コース | ¥88万円 | 10ヶ月以上 |
※マウスピース矯正がどのようなものかを実際に装着しお試しで体験できるコースになります。
※8回コースの場合、月々¥1,925円~で歯列矯正が可能になります。
デンタルローンを利用して8回コース(23.1万円)の分割支払金額です。
お支払い方法は分割払いと一括払いをお選びいただけます。
◾一括払い
銀行振込・クレジットカード(一括)
◾分割払い
デンタルローン
デンタルローンとは、歯の治療費を分割して支払うための「医療専用ローン」です。クレジットカードの分割払いとは違い、銀行や信販会社が患者に代わって歯科医院へ一括で治療費を立て替え、患者はその金額を毎月分割で返済していく仕組みです。
-
返済回数:6回〜84回程度(最長7年)
-
金利:およそ3%〜8%前後
(※カードローンやリボ払いより低いことが多いです)
※金利は「信販会社」や「医院の提携条件」によって異なります。
「金利0%キャンペーン」を行う医院もあります。
基本的にかかりませんが、マウスピース矯正だけでは対応できないケースもありその際は、患者様と相談を行い別途費用が掛かる場合があります。
ウィスマイルがおすすめな方
- 矯正に時間を掛けたくない方※1
- 月額¥1,925円~矯正が可能※2
- 目立たないマウスピースを探している方
※1治療期間は患者様により異なります
※2コース、分割回数により異なります
ウィスマイルは、前歯のガタつきや出っ歯など、軽度の歯並びを整えたい方におすすめのマウスピース矯正です。
透明で目立ちにくく、食事や歯磨き時に取り外しも可能。
一人ひとりの歯の状態によって異なりますが、通院も2〜3か月に1回程度と少なく、忙しい方にも続けやすいのが魅力です。
気軽に始められるお試しプランもありますので、「まずは試してみたい」という方はウィスマイルがおすすめです。
\※毎月30名限定で特典あり!/
おすすめマウスピース③:DPEARL(ディパール)矯正

- 初回診断無料
- 月々約¥2,760円~歯列矯正が可能
- オンラインと通院のWサポートで安心
部分矯正 | 全顎矯正 | |
対応治療 | ◎ | 〇 |
治療期間の目安 | 2~6ヶ月 | 6~10ヶ月 |
対応症状 | Eライン、口ゴボ、出っ歯、ガタガタな前歯、すきっ歯 |
※治療期間には個人差があります
マウスピース矯正は、前歯などの一部だけを整える「部分矯正」が多いですが、ディパール矯正は全体の歯並び(全顎)にも対応しています。
そのため、気になる前歯だけでなく、上下の歯全体をバランスよく整えたい方にもおすすめです。
「少しだけ歯並びを整えたい」という方から、「しっかり噛み合わせまできれいにしたい」という方まで、幅広い希望に合わせた治療ができるのがディパール矯正の大きな魅力です。

画像引用元:ディパール公式サイト
【治療期間】約9ヶ月
【治療費用】¥554,400円(税込)
治療方針:IPRを入れながら前歯部を遠心に移動
IPRとは、歯と歯の間を少しだけ削って、すき間を作る処置のこと。
※効果には個人差があります。
※保険適用外の自由診療となります。
※補綴・治療の費用は各提携クリニックによって異なります。
ディパール矯正の料金プラン
プラン | 料金(税込み) | 治療期間 |
ショートプラン | ¥308,000円 | 2ヶ月~4ヶ月 |
スタンダードプラン | ¥429,000円 | 4ヶ月~6ヶ月 |
ロングプラン | ¥554,400円 | 6ヶ月~8ヶ月 |
ハイブリッドプラン | ¥693,000円 | 8ヶ月~10ヶ月 |
※ショートプランの場合、月々¥2,760円~で歯列矯正が可能になります。
デンタルローンを利用して¥308,000円の分割支払金額です。
お支払い方法は分割払いと一括払いをお選びいただけます。
◾一括払い
銀行振込・クレジットカード(一括)
◾分割払い
デンタルローン
デンタルローンとは、歯の治療費を分割して支払うための「医療専用ローン」です。クレジットカードの分割払いとは違い、銀行や信販会社が患者に代わって歯科医院へ一括で治療費を立て替え、患者はその金額を毎月分割で返済していく仕組みです。
-
返済回数:6回〜84回程度(最長7年)
-
金利:およそ3%〜8%前後
(※カードローンやリボ払いより低いことが多いです)
※金利は「信販会社」や「医院の提携条件」によって異なります。
「金利0%キャンペーン」を行う医院もあります。
定期検診の際に、処置がある場合は2,000円程度/処置がない場合は500円程度をお支払いいただきます。
※一部の歯科医院では定期診察における料金設定が異なる場合がございます。
破損・紛失による再製作費用は1枚片顎:6,600円(税込)、両顎:11,000円(税込)です。
来院時に、歯石取り等の治療代がかかる可能性があります。その場合は、クリニックに直接お支払いいただきます。
矯正終了後に装着するリテーナーの料金は、プラン料金に含まれております。
お渡しさせていただくリテーナーの枚数はプランごとに異なりますが、追加でご購入いただくことも可能です。
追加でご購入いただく場合の費用は、6,600円(税込)[片顎]11,000円(税込)[両顎]です。
ディパール矯正がおすすめな方
- 全体の歯並び(全顎)が気になる方
- Eライン・口ゴボが気になる方
- 初回無料診断を利用したい方
ディパール矯正は、初回検査のあとリモートで定期チェックができるプランもあるので、
「忙しくてなかなか通院できない」「できるだけ来院を減らしたい」という方にもぴったりです。
また、専用アプリでシミュレーション動画を見たり、いつでも相談できるサポート体制が整っているのも安心ポイント。
自宅にいながら治療の進み具合を確認できるので、気軽に続けやすいのが魅力です。
さらに、初回診断(通常4〜5万円ほど)が無料で受けられるため、「自分の歯並びがマウスピース矯正に向いているか知りたい」という方も、気軽に相談から始められますのでおすすめです。
\今だけ【限定】20,000円OFF!/
おすすめマウスピース④:キレイライン矯正

- 初回診断無料※
- 月々約¥3,100円~歯列矯正が可能
- 日本初のマウスピース矯正
※初回無料診断の有無はクリニックにより異なります。
部分矯正 | 全顎矯正 | |
対応治療 | ◎ | 〇 |
治療期間の目安 | 約2.5ヶ月~ | 約5ヶ月~ |
対応症状 | Eライン、口ゴボ、出っ歯、ガタガタな前歯、すきっ歯 |
※治療期間には個人差があります
マウスピース矯正は、前歯などの一部だけを整える「部分矯正」が多いですが、キレイライン矯正は全体の歯並び(全顎)にも対応しています。
そのため、気になる前歯だけでなく、上下の歯全体をバランスよく整えたい方にもぴったりです。
「ちょっとだけ直したい」という方から「しっかり噛み合わせまできれいにしたい」という方まで、幅広いニーズに合わせた治療ができるのがキレイライン矯正の魅力です。
画像引用元:キレイライン公式サイト
【治療期間】約4ヶ月半
【治療費用】¥176,000円 (税込)
- 再診料:¥16,500円 (税込) 5回
- 追加治療:上顎左右2番矮小歯の補綴
※効果には個人差があります。
※補綴・治療の費用は各提携クリニックによって異なります。
キレイライン矯正の料金プラン
プラン | 料金(税込み) | 治療期間 |
都度払い | ¥44,000円 | ー |
5回コース | ¥19.8万円 | 約2.5ヶ月~ |
10回コース | ¥33万円 | 約5ヶ月~ |
15回コース | ¥46.2万円 | 約7.5ヶ月~ |
都度払いの場合、回数指定がありませんので軽度な歯並びの方はおすすめです。
※10回コースの場合、月々約¥3,100円~で歯列矯正が可能になります。
デンタルローンを利用して10回コース(330,000円)を120回払いで支払う場合の分割支払金額です。
お支払い方法は分割払いと一括払いをお選びいただけます。
◾一括払い
銀行振込・クレジットカード(一括)
◾分割払い
デンタルローン
デンタルローンとは、歯の治療費を分割して支払うための「医療専用ローン」です。クレジットカードの分割払いとは違い、銀行や信販会社が患者に代わって歯科医院へ一括で治療費を立て替え、患者はその金額を毎月分割で返済していく仕組みです。
-
返済回数:6回〜84回程度(最長7年)
-
金利:およそ3%〜8%前後
(※カードローンやリボ払いより低いことが多いです)
※金利は「信販会社」や「医院の提携条件」によって異なります。
「金利0%キャンペーン」を行う医院もあります。
初回検診料3,850円、通院ごとに再診料3,300円、矯正治療終了後に必要なリテーナー(保定装置)に22,000円~66,000円掛かります。歯科医師の判断により追加治療が必要な場合、別途費用がかかります。
キレイライン矯正がおすすめな方
- 全体の歯並び(全顎)が気になる方
- Eライン・口ゴボが気になる方
- 人気のマウスピースブランドを使用したい方
キレイライン矯正は、日本で初めて誕生したマウスピース矯正ブランドとして、これまで数多くの症例に対応してきた実績があります。
その豊富な経験から、一人ひとりの歯並びや悩みに合わせた的確な治療プランを提案できるのが大きな特徴。
また、透明で目立ちにくいデザインや、通いやすい料金設定なども支持されているポイントです。
初めての矯正でも安心して始められる、信頼性の高いマウスピース矯正になっております。
ホワイトニング剤
\2週間分をプレゼント中!/
おすすめマウスピース⑤:ゼニュム矯正

- 無料オンライン診断あり
- 月々約¥5,900円~歯列矯正が可能
- サポート体制が充実している
部分矯正 | 全顎矯正 | |
対応治療 | ◎ | 〇 |
治療期間の目安 | 約6ヶ月 | 約10ヶ月~ |
対応症状 | Eライン、口ゴボ、出っ歯、ガタガタな前歯、すきっ歯 |
※治療期間には個人差があります
マウスピース矯正の多くは、前歯など一部の歯を整える「部分矯正」が中心ですが、ゼニュム矯正は全体の歯並び(全顎)にも対応しているのが大きな特徴です。
そのため、「前歯だけでなく噛み合わせまでしっかり整えたい」「横顔や口元のバランスもきれいにしたい」という方にもおすすめ。
部分矯正から本格的な全顎矯正まで、幅広い歯並びの悩みに柔軟に対応できるマウスピース矯正です。
ゼニュム矯正の料金プラン
プラン | 料金(税込み) | 治療期間 |
ゼニュムクリア | ¥324,500円 | 約6ヵ月 |
ゼニュムクリア プラス |
¥575,000円 | 約10ヵ月 |
ゼニュムクリア プラス+ |
¥66万円 | 約15ヵ月 |
※ゼニュムクリアの場合、月々¥5,900円~で歯列矯正が可能になります。
分割を利用して¥324,500円を84回払いを選んだ場合の分割支払金額です。
お支払い方法は分割払いと一括払いをお選びいただけます。
◾一括払い
現金払い・クレジットカード
◾分割払い
デンタルローン・クレジットカード
デンタルローンとは、歯の治療費を分割して支払うための「医療専用ローン」です。クレジットカードの分割払いとは違い、銀行や信販会社が患者に代わって歯科医院へ一括で治療費を立て替え、患者はその金額を毎月分割で返済していく仕組みです。
-
返済回数:6回〜84回程度(最長7年)
-
金利:およそ3%〜8%前後
(※カードローンやリボ払いより低いことが多いです)
※金利は「信販会社」や「医院の提携条件」によって異なります。
「金利0%キャンペーン」を行う医院もあります。
治療後、歯並び維持のために必要なリテーナーは1セット27,000円(税込)でご提供しております。
ゼニュム矯正がおすすめな方
- オンライン無料診断を利用したい方
- 全体の歯並びが気になる方
- サポート体制を重視している方
ゼニュム矯正は、クリニックへ来院しなくてもオンラインで初回無料診断が受けられる手軽なマウスピース矯正です。
スマホやパソコンから簡単に申し込みができるため、自宅にいながら自分の歯並びが矯正可能かをチェックできます。
忙しくて通院の時間が取れない方や、まずは気軽に相談してみたい方におすすめです。
\今なら最大¥28,000円OFF!/
おすすめマウスピース⑥:エミニナル矯正

- 初回診断無料
- 月々約¥2,750円~歯列矯正が可能
- 最低3回の通院で治療が完了※
※通院頻度は歯並びにより異なります。
部分矯正 | 全顎矯正 | |
対応治療 | ◎ | △ |
治療期間の目安 | 約3~6ヶ月 | 約7ヶ月~ |
対応症状 | 出っ歯、ガタガタな前歯、すきっ歯 |
※治療期間には個人差があります
エミニナル矯正は、全体矯正というよりも「すきっ歯」や「前歯のガタつき」など部分矯正に特化したマウスピースブランドです。
気になる箇所だけをピンポイントで整えられるため、短期間・低コストで理想の歯並びを目指したい方におすすめです。
透明で目立ちにくいマウスピースを使用するので、矯正中も自然な見た目を保ちながら治療を進められます。
初めての矯正にも取り入れやすく、手軽に前歯の印象を変えたい方に人気の矯正ブランドです。

画像引用元:エミニナル公式サイト
【治療期間】5ヶ月
【治療費用】¥330,000円 (税込)
追加治療:IPR(1回) 1万円 抜歯なし
IPRとは、歯と歯の間を少しだけ削って、すき間を作る処置のこと。
※効果には個人差があります。
※補綴・治療の費用は各提携クリニックによって異なります。
エミニナル矯正の料金プラン
プラン | 料金(税込み) | 治療期間 |
初回診断 | 0円 | ー |
ミニプラン | 33万円 | ~3ヶ月 |
ライトプラン | 49,5万円 | 4~6ヶ月 |
ミドルプラン | 66万円 | 7~12ヶ月 |
フルプラン | クリニックによる | 13ヶ月以上 |
※ミニプランの場合、月々¥2,750円~で歯列矯正が可能になります。
デンタルローンを利用して、税込33万円(6ヶ月)を120分割した場合の手数料抜きの月額の費用で、ローン内容は治療期間や分割回数により異なります。
お支払い方法は分割払いと一括払いをお選びいただけます。
◾一括払い
銀行振込・クレジットカード(一括)
◾分割払い
デンタルローン・クレジットカード(分割)
デンタルローンとは、歯の治療費を分割して支払うための「医療専用ローン」です。クレジットカードの分割払いとは違い、銀行や信販会社が患者に代わって歯科医院へ一括で治療費を立て替え、患者はその金額を毎月分割で返済していく仕組みです。
-
返済回数:6回〜84回程度(最長7年)
-
金利:およそ3%〜8%前後
(※カードローンやリボ払いより低いことが多いです)
※金利は「信販会社」や「医院の提携条件」によって異なります。
「金利0%キャンペーン」を行う医院もあります。
矯正治療完了後に必要なリテーナー(保定装置)に¥22,000円(税込)掛かります。
エミニナル矯正がおすすめな方
- 初回無料診断を利用したい方
- 前歯の歯並びが気になる方
- 実績がある矯正ドクターに対応してほしい方
エミニナル矯正は、豊富な実績を持つ矯正ドクターが一人ひとりに合わせた治療計画を作成し、無理のないペースで少しずつ歯を動かすことで、痛みを抑えながら自然で満足のいく仕上がりを目指します。
歯並びや骨格の状態に合わせて丁寧に調整してくれるため、初めて矯正をする方でも安心して始めやすいのが特徴です。
\4~5万円相当の初回診断が無料!/
おすすめマウスピース⑦:DDデンタルクリニック

- 初回診断無料※
- インビザライン矯正がリーズナブル価格で可能
- 実績のある矯正ドクターが対応
※LINE友達登録が必要です。
部分矯正 | 全顎矯正 | |
対応治療 | ◎ | ◎ |
治療期間の目安 | 約6ヶ月 | 約12ヶ月~ |
対応症状 | Eライン、口ゴボ、出っ歯、ガタガタな前歯、すきっ歯 |
※治療期間には個人差があります
DDデンタルクリニックでは、世界的に有名なマウスピース矯正ブランドである「インビザライン」を採用しています。
インビザラインは、これまでに1,500万件以上の症例実績(※)がある信頼性の高い矯正方法で、前歯だけでなく、全体の歯並びや噛み合わせまでしっかり整えたい方にもおすすめです。
透明で目立ちにくく、取り外しもできるため、日常生活に無理なく取り入れられるのも魅力です。
※症例数は公式発表による参考値です。

画像引用元:DDクリニック公式サイト
【治療期間】2年5ヶ月
【治療費用】¥737,000円 (税込)
- コンプリヘンシブパッケージプラン(重度向け)
- マウスピース枚数無制限
- あらゆる症例に対応
※効果には個人差があります。
※補綴・治療の費用は各提携クリニックによって異なります。
DDデンタルクリニック(インビザライン矯正)の料金プラン
プラン | 料金(税込) |
ライトパッケージ(軽度) | ¥352,000円 |
モデレートパッケージ(中度) | ¥528,000円 |
コンプリヘンシブパッケージ(重度) | ¥737,000円 |
【支払い方法の詳細】
お支払い方法は分割払いと一括払いをお選びいただけます。
◾一括払い
銀行振込・クレジットカード(一括)
◾分割払い
デンタルローン
デンタルローンとは、歯の治療費を分割して支払うための「医療専用ローン」です。クレジットカードの分割払いとは違い、銀行や信販会社が患者に代わって歯科医院へ一括で治療費を立て替え、患者はその金額を毎月分割で返済していく仕組みです。
-
返済回数:6回〜84回程度(最長7年)
-
金利:およそ3%〜8%前後
(※カードローンやリボ払いより低いことが多いです)
※金利は「信販会社」や「医院の提携条件」によって異なります。
「金利0%キャンペーン」を行う医院もあります。
治療費には、矯正治療に必要な費用がほぼ含まれており、基本的にはかかりません。
ただし、患者様の歯の状態によっては、マウスピース矯正のみでは十分な治療効果が得られない場合があります。
その際は、補助的な治療法をご提案することがありますが、その際は別途費用が発生します。
DDデンタルクリニックがおすすめな方
- 初回無料診断を利用したい方※
- Eライン・口ゴボ・出っ歯が気になる方
- 有名なインビザラインを利用したい方
※LINE友達登録が必要です。
DDデンタルクリニックで取り扱っている「インビザライン」は、世界で数々の症例実績を誇る、信頼性の高いマウスピース矯正です。
透明で目立ちにくいだけでなく、前歯の部分矯正から全体の歯並び・噛み合わせの改善まで幅広く対応できるのが特徴です。
さらに、DDデンタルクリニックでは経験豊富なドクターが一人ひとりの歯並びを丁寧に診断し、最適な治療計画を提案してくれるため、見た目の美しさと噛み合わせのバランスを両立した仕上がりを目指せます。
\信頼性の高いインビザライン!/
おすすめマウスピース⑧:オーマイティース矯正

- 初回診断無料
- 月々約¥3,500円~歯列矯正が可能
- 定期的な通院が不要※
※矯正開始後の来院は原則不要ですが、症状により通院が必要な場合もあります。
部分矯正 | 全顎矯正 | |
対応治療 | ◎ | △ |
治療期間の目安 | 約3~6ヶ月 | 約6~12ヶ月 |
対応症状 | 出っ歯、ガタガタな前歯、すきっ歯 |
※治療期間には個人差があります
オーマイティースは、前歯の部分矯正に特化したマウスピース矯正で、特に「前歯のガタつき」や「すきっ歯」が気になる方にぴったりです。
全体矯正ほど大がかりではなく、気になる部分だけを手軽に整えたい方に選ばれています。目立ちにくい透明のマウスピースを使用するため、矯正中も自然な見た目を保てるのが魅力。
短期間で前歯の印象を変えたい方や、人前に立つ仕事をしている方にもおすすめの矯正ブランドです。
オーマイティース矯正の料金プラン
プラン | 料金(税込み) | 治療期間 |
Basicプラン (部分矯正) |
¥33万円 | 3ヶ月~6ヶ月 |
Proプラン (全体矯正) |
¥66万円 | 6ヶ月~12ヶ月 |
※保険適用外の自由診療です。
Basicプランの場合、月々¥3,500円~で歯列矯正が可能になります。
デンタルローンを利用してBasicプラン(330,000円)を120回払い(初回¥3,519円)で支払う場合の分割支払金額です。
※デンタルローンを利用したBasicプランの総額¥420,019円(税込)
お支払い方法は分割払いと一括払いをお選びいただけます。
◾一括払い
銀行振込・クレジットカード(一括)
◾分割払い
デンタルローン・クレジットカード
デンタルローンとは、歯の治療費を分割して支払うための「医療専用ローン」です。クレジットカードの分割払いとは違い、銀行や信販会社が患者に代わって歯科医院へ一括で治療費を立て替え、患者はその金額を毎月分割で返済していく仕組みです。
-
返済回数:6回〜84回程度(最長7年)
-
金利:およそ3%〜8%前後
(※カードローンやリボ払いより低いことが多いです)
※金利は「信販会社」や「医院の提携条件」によって異なります。
「金利0%キャンペーン」を行う医院もあります。
基本的に追加費用はありませんが、リテーナーを希望の方は上下セットで¥11,000円(税込)で購入することができます。
また、最後に作成したマウスピースをリテーナーとして利用することもできます。
オーマイティースがおすすめな方
- 初回無料診断を利用したい方
- できるだけ通院を控えたい方
- 部分的な歯並びが気になる方
オーマイティースは、前歯の部分矯正に特化したマウスピース矯正で、特に「前歯のガタつきやすき間」が気になる方におすすめです。
さらには、定期的な通院が不要(※)ということで、忙しい方や遠方にお住まいの方にも人気の矯正ブランドです。※矯正開始後の来院は原則不要ですが、症状により通院が必要な場合もあります。
また、通常4~5万円ほどかかる初回診断が無料で受けられるのも魅力のひとつ。
まずは気軽に自分の歯並びがマウスピース矯正に適しているかをチェックしてみたい方は、オーマイティースの無料診断を活用してみると良いでしょう。
\ホワイトニング剤プレゼント中!/
おすすめマウスピース⑨:hanaravi(ハナラビ)矯正

- 初回診断無料
- 月々約¥3,600円~歯列矯正が可能
- 全額返金保証あり※
※矯正を開始して2ヶ月以上経過し、客観的に矯正効果が無いと判断した場合
部分矯正 | 全顎矯正 | |
対応治療 | ◎ | △ |
治療期間の目安 | 5~10ヶ月 | 8~18ヶ月 |
対応症状 | 出っ歯、ガタガタな前歯、すきっ歯 |
※治療期間には個人差があります
ハナラビ矯正は全体的な歯並びの矯正にも対応していますが、特に「すきっ歯」や「前歯のガタつき」を整えたい方に向けた部分矯正が人気です。
見た目の印象を短期間で改善できるケースも多く、費用を抑えて前歯だけをきれいにしたい方におすすめです。
さらに、透明で目立ちにくいマウスピースを使用するため、仕事中や外出時でも自然な笑顔を保てます。

画像引用元:ハナラビ矯正公式サイト
【治療期間】6ヶ月
【治療費用】約¥300,000円 (税別)
- Basicプラン(部分矯正)
- 矯正期間の目安:5~7ヶ月
※効果には個人差があります。
ハナラビ矯正の料金プラン
プラン | 料金(税抜き) | 治療期間 |
Basicプラン | ¥30万円 | 5~7ヶ月 |
Mediumプラン | ¥45万円 | 7~10ヶ月 |
Proプラン | ¥60万円 | 8~18ヶ月 |
※Basicプランの場合、月々¥3,600円~で歯列矯正が可能になります。
デンタルローンを利用して、30万円を91分割した場合の手数料抜きの月額の費用で、ローン内容は治療期間や分割回数により異なります。
お支払い方法は分割払いと一括払いをお選びいただけます。
◾一括払い
銀行振込・クレジットカード(一括)
◾分割払い
デンタルローン・クレジットカード(分割)
デンタルローンとは、歯の治療費を分割して支払うための「医療専用ローン」です。クレジットカードの分割払いとは違い、銀行や信販会社が患者に代わって歯科医院へ一括で治療費を立て替え、患者はその金額を毎月分割で返済していく仕組みです。
-
返済回数:6回〜84回程度(最長7年)
-
金利:およそ3%〜8%前後
(※カードローンやリボ払いより低いことが多いです)
※金利は「信販会社」や「医院の提携条件」によって異なります。
「金利0%キャンペーン」を行う医院もあります。
ハナラビでは、調整費用などの追加費用は掛かりません。
※矯正開始して2ヶ月以上経過し客観的に矯正効果が無いと判断した場合。
ハナラビ矯正がおすすめな方
- 初回無料診断を利用したい方
- 全額返金保証付きでマウスピース矯正を始めたい方※
- 追加費用なしでマウスピース矯正を始めたい方
※矯正を開始して2ヶ月以上経過し、客観的に矯正効果が無いと判断した場合
ハナラビ矯正は、一定の条件を満たすことで他のマウスピースブランドでは珍しい「全額返金保証」が受けられる安心の制度があります。
さらに、通常4〜5万円ほどかかる初診料が無料のため、初めて矯正を検討している方でも気軽に相談が可能。
費用面の負担を抑えつつ、納得のいく治療を受けたい方におすすめのマウスピース矯正になっております。
\ホワイトニング剤プレゼント中!/